Radiologie dentara digitala
Bragadiru

Aparatura performanta de ultima generatie, rezultate rapide.

Centru Bragadiru - Soseaua Alexandriei nr. 99D , vizavi de McDonald's

Telefon Urgente : 0771 559 575

Minimalist bank items

Despre noi

Laborator de Radiologie Dentara.

Computer
100% in siguranta

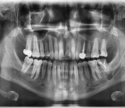
Centrul de Radiologie Dentara Digitala Bragadiru dispune de un aparat radiologic performant ce poate realiza o radiografie dentară, rapid şi fără multe radiaţii, care ne permite să obţinem o imagine digitală complexă a cavităţii bucale. Datorită senzorilor aparatului imaginea digitală, obţinută prin expunerea la radiaţii x, va fi de calitate şi la o rezoluţie net superioară filmului convenţional, ceea ce permite posibilitatea prelucrării digitale (mărirea sau inspectarea imaginii). Echipamentul foloseşte o cantitate de radiaţii redusă cu 80 % faţă de un aparat radiologic clasic (cu film). Astfel, pot fi realizate investigaţii radiologice şi femeilor însărcinate. În plus, procesul durează maxim 1 minut şi nu este necesară pregătirea prealabilă sau programare iar rezultatul apare imediat pe ecranul medicului stomatolog.

Echipamente performante

FOCUS este o unitate de radiologie intraorala, controlata printr-un microprocesor, cu un generator HF c.c..Unitatea produce imagini dentare cu film de inalta calitate, placi de imagistica sau senzori digitali. Bratul de sprijin foarte bine echilibrat este usor de mutat si foarte stabil, mentinand unitatea nemiscata in timpul expunerii. Modelul brevetat al unitatii are generatorul VHF c.c. inserat in partea orizontala a bratului de sprijin al unitatii, permitand o fiabilitate mai mare si usurinta la instalare si service. Generatorul VHF c.c. mentine doza redusa de radiatii asupra pacientului.

Radiologie Radiologie Radiologie Radiologie Radiologie Credit card
Cele mai bune tarife

Prețuri avantajoase și reduceri pentru investigațiile livrate în variantă digitală.

Serviciile pot fi achitate în numerar sau plata cu cardul (POS)

Tarife si Servicii

Lista de preturi ce va intra in vigoare incepand cu data de 01.02.2021

Serviciile noastre

Centrul de Radiologie Dentara Digitala Bragadiru ofera doua tipuri de servicii : radiologie intraorala si radiologie extraorala .

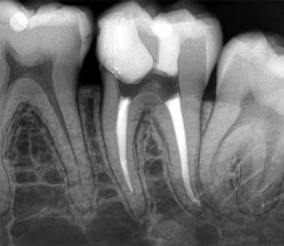
Radiografia intraorala reprezinta examenul radiologic care ofera cea mai fidela imagine, la scara 1:1, pentru examinarea detaliilor de structura dentoalveolara si a proceselor patologice ce se pot gasi la acest nivel. Pe o radiografie retroalveolara, cu o singura expunere, pot fi vizualizati intre 1-3 dinti alaturati. Pentru dintii pluriradiculari pot fi necesare mai multe expuneri, pentru vizualizarea radacinilor din diferite unghiuri (incidente excentrice).

Radiografia digitala panoramica ofera o imagine de ansamblu a ambelor arcade si a intregului set de dinti pe un singur film, în cadrul unei singure expuneri cu o doză de radiaţii redusă într-un timp de examinare foarte scurt. Aceasta radiografie este indicata inaintea oricarui tratament stomatologic, astfel incat medicul sa aiba o imagine completa a cazului pe care il trateaza, sa evalueze eventuale leziuni inflamatorii sau dinti neerupti, structura osoasa de sustinere, articulatiile temporo-mandibulare, sa vizualizeze molarii de minte, rapoartele dintilor cu repere anatomice invecinate (nerv alveolar, sinus maxilar) sau posibile fracturi osoase maxilare sau mandibulare.

Radiografia digitala bite-wing evidentiaza atat coroanele dentare superioare cat si cele inferioare ale unui grup restrains de dinti, pe acelasi film. Este foarte eficienta in depistarea precoce a cariilor dentare la nivelul punctelor de contact ale coroanei, pentru evidentierea integrarii optime a coroanelor dentare, dar si in detectarea unor probleme legate de densitatea osoasa (in afectiunile parodontale)- disponibil in curand

Status radiologic bimaxilar Status radiologic bimaxilar este o metodă de investigaţie radiologică prin care sunt prezentate imagini detaliate pe grupe de dinţi în incidenţe retroalveolare şi bite-wing, astfel incat sa cuprinda totalitatea dintilor prezenti la nivelul ambelor arcade dentare- disponibil in curand

Radiografia ATM oferă detalii asupra condilului mandibular şi a cavităţii glenoide.
Este utilizată pentru stabilirea diagnosticului în caz de traumatism a discului interradicular, producerea de luxaţii, dislocări sau chiar fracturi la nivelul condilului mandibular - disponibil in curand

Radiografia Bite-Wing Radiografia Bite-Wing extraorala este indicată pentru evidenţierea zonelor laterale utilizându-se o singura expunere pentru toate 4 cadrane, timpul de expunere este foarte mic ( maxim 5 secunde) şi doza de radiaţie este minimă - disponibil in curand

Atentie : se acorda o reducere de 5 RON pentru transmiterea RX prin email.

Lista tarife pentru radiografii intraorale

Rx retroalveolara : 35 RON

* se aplica o reducere de 5 RON pentru Rx pe film digital sau pe e-mail.

Lista tarife pentru radiografii extraaorale

Rx panoramica (scala 1:1) : 90 RON

Rx panoramica (scala 1:25:1) : 90 RON

Rx panoramica (scala 1:50:1) : 90 RON

* se aplica o reducere de 5 RON pentru Rx pe film digital sau pe e-mail

Echipa noastra

Personalul care deserveste laboratorul nostru de imagistica dentara are o bogata experienta (intre 5 si 10 ani) in efectuarea radiografiilor dentare.

Date de Contact:

Centru Bragadiru - Soseaua Alexandriei nr. 99D

R.A.T.B: Statia Smardan, R421, R424 si R302

Telefon: 0771 559 575

Email: radiologiebragadiru@gmail.com


Program de lucru

Luni- Joi     : 09:00 -19:00

Vineri     : 09:00 -16:00

Sambata -Duminica : INCHIS